
Not everyone knows what arthrosis is, because of this, people are confused in treatment methods and do not understand the principles of diagnosing pathology.Arthrosis is a severe dystrophic violation that provokes cartilage tissue lesion in the intraarticular cavity.The complexity of therapy is associated with the irreversibility of the processes, a complete cure in modern medicine cannot be achieved, but the severity of the symptoms can be reduced and the progression of the pathology can slow down.With the right treatment, a person continues the usual lifestyle for a long time.
What is arthrosis?
Similarly, it is simpler for arthrosis to be a disease of the joints that provoke the restriction of amplitude of movement and pain.In the first phase of damage, there are no manifestations, have little severity and are washed.Gradually, the pathology progresses, this is facilitated by age -related changes in the body, stress, injuries, etc.According to statistics, about 80% of the population over 60 years old from arthrosis.
The arthrosis of the joint develops for a long time, initially only affects the hyaline cartilage, then spreads to the bone, includes the synovial shell, muscles and the entire joint capsule.In the first or early stage of arthrosis, the lesion is slightly manifested: minor pain after hard work, swelling, redness of the skin.Due to ignoring unpleasant sensations, the knot is deformed, inflamed, brings severe pain, their roof falls in the morning.The disease is characterized by the disappearance of pain after the development of the joint.If left untreated, a person completely loses the mobility of the joint.

There is a primary and secondary form of arthrosis.Pseudo-arthrosis (neoartrosis) also distinguishes- not many people know what it is, as it is formed less frequently than other varieties.Neoarthrosis is a false union, so the cartilage tissue grows in an unusual place where the damage is taken.It is difficult to treat, mostly surgical.
There is a pathology due to disorders of regenerative function, immunity or mechanical damage.Due to the different causes of the cartilage, it becomes thinner.In normal condition, the cartilage fabric receives enough food for healing, but after excessive physical exercise or due to the violation of metabolic processes, the fabrics do not have time to regenerate.In the first stage, remains joint mobility.Considering what arthritis is as a definition, it is worth deepening in more detail in the development of pathology.
Mechanism of arthrosis development, its types
Many types of arthritis develop according to a similar scheme:
- The primary lesion affects the Hialin cartilage.In case of circulatory disorders, the worsening of pathological power occurs.The first step or cause, which can occur arthritis.
- Pathologies of the hyaline dress.The arrangement of the cartilage leads to the replacement of its pathological tissue - bone structures.
- Anomal growths appear in the cartilage - osteophytes.
- The innate violation of the natural anatomy of the cartilage and bone provokes the overload of healthy cartilage areas.Destruction of articular tissue without treatment is constantly progressing and leading to disability.
When the disease rate increases, the pathological processes are still aggravated.After all, the whole Haali cartilage is destroyed.
The last rate of the disease leads to:
- Inclusion in the pathological process of bones, below and above the cartilage surfaces;
- irritation of a common shell, limiting mobility, which leads to disability of 2 degrees;
- Increased capsule density;
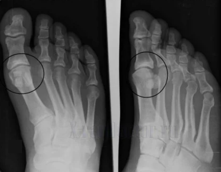
- By reducing the gap in the node gap, which is made visible in the picture.The violation phase is determined by diagnostic-tantgenologist.The patient feels the complexity or inability to fully adjust and bend the limb;
- joint deformation, cartilage acquires an irregular shape, provoking bending;
- Deterioration in the patient's condition with complete destruction of the joints.
Stages of arthrosis
The common disease has 3 stages of development:

- 1 degree.Disordishes morphological disorders have already begun, but they are still not visible.Pathology mainly affects the condition of synovial fluid, which worse supplies cartilage tissue with nutrients, reducing cartilage strength.The load on the joints provokes inflammation and pain.
- Phase 2. Due to lack of supply, the necessary cartridges are destroyed, bone growths form on the cartilage surface.Pain acquire a more pronounced character, intensify after a long break, eliminated from small physical work.Pain is associated with inflammation.The muscles are stretched, which leads to poor or medium -sized engine -average functions.
- 3 degrees.Often there is pain, it is difficult to move the limb due to changes in the joint.The lesions are wide, they become visible to the bare appearance.The deformation of the common site occurs, the affected area swells and becomes red.The axis axis is disturbed, which leads to the complexity of the movement.Pathological changes provoke the shortening of the ligaments.Contractions appear and appear.The adjacent muscles are shortened or stretched, from which the contractual function is weakened.
Causes and risk factors for arthrosis development
The causes of arthrosis of the joints vary depending on the shape of the pathology.Deformation of elbow arthritis, ankle joining and shoulder arthrosis sometimes develops without obvious causes, it is possible to detect them with a physician, a specialist in rheumatology.If the problem was not preceded by obvious pathology, the disease is called primary.The secondary form of the violation is mainly diagnosed, it can provoke different states.
The main reasons for development:
- Mechanical damage: displacements, fractures, extension, meniscus damage;
- a number of endocrine disorders associated with malfunctions in immune work;
- Pathologies of metabolism;
- dysplasia (congenital abnormal of articular tissue);
- suffered inflammation of the joints;
- Pathologies that lead to high joint mobility and weakening of ligaments.
Patients with arthrosis are most often encountered by predisposing factors:
- age -related changes;
- Light weight and growth of BMI.The high load on the joint leads to the quick wear of the joints;
- lack of useful substances;
- Excess load on the joints.The reason is intense training, sports, hard physical work;
- difficult working conditions or an inaccurate approach to the sport.If there is a history of a genetic tendency for damage, joint damage or similar illness, it is important to adhere to a particular training program, avoiding traumatic and difficult exercises;
- Post post -recovery surgery or complex transmitted operations associated with the removal of a large portion of the affected fabrics.Such states adversely affect the softness and strength of the cartilage, the load should be minimized on them;
- Genetic tendency, arthrosis is most often diagnosed in patients with relatives with the same pathology;
- The postmenopausal phase, occurs in women for about 50 years, is associated with changes in the endocrine system;
- the devastating effect of toxins;
- poor environmental situation in the region of residence;
- Frequent damage to the union, sometimes microcytes do not appear for a long time;
- hypothermia;
- Pathology of the lumbar and cervical part of the spine.
Priority

The primary arthritis is formed independently, that is, without the influence of any internal or external causes.The loss develops through the hyaline cartilage quite slowly.It is rarely diagnosed, it accounts for only 3-5% of all cases.
Arthritis
Secondary arthrosis is most often detected by an order of 95-96% of cases.They are provoked by any of the above pathologies.
Signs and symptoms of arthrosis
The manifestations of the disease vary slightly depending on the localization, most often the signs are reflected in the knees, shoulders and hip joints, due to the high load.
Mostly complaints go down to:
- Pain they have low severity in the initial phase, with the worsening of the sensation state intensified.Initially, the joints were injured only after they wake up, after a slight warm heat, the sensations disappear.Over time, the pains appear at night, they are very worried during and after prolonged walking, jogging, etc.In the final stage, pain syndrome follows a person all the time;
- limited amplitude of movements.The stiffness of actions indicates anatomical changes in the structure.At first it manifests in the morning, then the daily movements are limited.In order not to provoke the deterioration of the condition, the work must be varied and easy, otherwise the patient will not be able to unlock and squeeze the limb over time.Over time, there is a risk of contracting, from which a person loses motor ability;
- Crowns during movements - belongs to nonspecific manifestations of arthrosis.The disease is characterized by the emergence of crunch in a single fusion (except polyarthrosis), accompanied by discomfort, pain and limited actions.The nature of the current is similar to the wave - at first it manifests poorly, gradually intensified, but in 3 phases disappears;
- Swelling with redness.Localized localized near the diseased joint, this indicates an inflammatory process and progression of the disease.The doctor understands that synovial shells are affected, this provokes fluid accumulation and increased pain;
Deformities of the limbs.It appears in a neglected form of the disease, indicates the complete destruction of the cartilage tissue and the appearance of osteophytes.In this condition, the pressure on the joints at the top and below increases, from which bending can affect the entire limb.
It is important to remember that deforming bones in the legs is often confused with corn.The symptom is poorly dangerous only at first glance, but leads to severe consequences.
Complications
Initially, conservative therapy methods are used for treatment.If they are ineffective or the patient ignores the doctor's recommendations, there is a risk of consequences.
Possible complications:
- The connection is completely destroyed;
- The limb is immobilized, every movement becomes extremely difficult;
- intervertebral hernia;
- disability;
- Strong deformation of the union or all limbs.
Diagnosis of arthrosis
To make a diagnosis, rheumatologists study the patient's complaints and prescribe an X -Ray examination.Most often, radiography is used in 2 projections.The doctor looks at the presence of dystrophic disorders in the hyaline cartilage and bone joints.If the articular gap is reduced, the bones are deformed or flattened, there are cystic formations on the surface of the cartilage, osteophytes are visible signs of arthrosis.During inspection, arthritis indicates the instability of the joint: the limb axis and the subluxation is disturbed.

Often an X -Ray view is unable to provide complete information about the condition of the joint.For a more complete study, calculated tomography is described, is effective for bone examination.MRI is most often used to study soft tissue.
During the diagnosis, the involvement of other specialists who will help determine the root cause of the pathology is practiced.They often refer to the consultation of a hematologist, endocrinologist, gynecologist, orthopedic.
Modern treatment
There are hundreds of ways of arthrosis therapy, but they all go down to a number of methods:
- Drug treatment.The main task is to fight the symptoms and prevent the further development of a violation.Most often, analgesics are used to relieve pain, non -steroidal anti -inflammatory medicines to combat inflammation, hormonal drugs are prescribed for severe pain and acute inflammation.Each course is based on chondroprotectors that protect cartilage fabrics from destruction, natural substances for their production are used;
- Physiotherapy.Increases the effectiveness of the medication, fights inflammation, relieves symptoms, accelerates tissue regeneration.Most often used ultrasonic, electric, magnetic, laser therapy.This also includes mud baths, applications with natural materials, radon baths;
- Medical physical education.It is useful as a prevention and to ease the condition.After accurate physical exercises, it is possible to completely eliminate the pain.It is useful to visit the pool, engage in yoga and often walk;
- Manual therapy, massage will help treat the disease, as they contribute to the prevention of bending of the joints.After the injuries, the manual therapist is able to level the joint, preventing it fixing it to the wrong position.After massage, muscle tone has improved, blood circulation accelerates;
- Proper food.A healthy diet will help enrich the body with nutrients for cartilage and reduce body weight.A large mass enhances the wear of the joints;
- Treatment of the sanatorium resort will strengthen the joints.In the context of healing, sanatoriums are offered balneotherapy, exercise therapy, physiotherapeutic procedures, etc.;
- Non -traditional therapy.For the treatment of arthrosis, huts, natural medicine, aph- and herbal, as well as acupuncture and various popular recipes;
- Surgical intervention is the only way to get back to the usual life in the third stage of the disease.Endoprostetics allows you to replace the patient's cartilage with the implant.The only drawback of the operation is the high cost.A procedure is enough for 15-20 years.
Preventive
In order for the arthrosis of the union not to disturb in old age, it stands:
- maintain a healthy lifestyle;
- prevent strong loads;
- observe a diet;
- exclude bad habits;
- Perform gymnastics daily;
- Follow the weight.
Arthrosis is a dangerous disease that is much easier to prevent than cure.With the timely search of a physician and compliance with the treatment rules, the patient will be able to maintain a long -known lifestyle.Lack of therapy and self -medication provokes rapid worsening of the disease, and ultimately disability.























